Kategórie
Endokrinologie

DIABETES MELLITUS 1. typu

Definice: je autoimunitní onemocnění, charakterizované postupnou destrukci B-buněk pankreatu, jehož výsledkem je kompletní chybění inzulinu (nejsou B-buňky není inzulin). Onemocnění začína v dětském věku.

Epidemiologie: 7% (56 000) ze všech DM (cca z 840 000 lidi)

Dělení:

Podle klinického průběhu:

  1. Typický typ:
    • začátek v dětství v adolescencii
    • rychle progreduje do terminálního stadia
    • pacienti jsou plně závislí na inzulinu (exogenní)
    • častěji se setkáme s ketoacidózou
  2. LADA (latentní autoimunitní diabetes u dospělých):
    • začátek v dospělosti
    • pomalejší průběh
    • často se zamění s DM 2.typu

Etiopatogeneze:

Etiologie: multifaktoriálni

  • genetická predispozice: specifické alely MHC II
  • zevní prostředí:
    • vírové infekce → CMV, spalničky, plané neštovice, EBV, zarděnky
    • chemické látky
    • toxiny
  • požívání kravského mléka a mléčných produktu dětmi do 4. měsíce života → zvyšuje riziko vzniku DM 1.typu

Patogeneze: autoimunitní reakce (způsobena buněčným typem imunity):

  • první buňky v Langerhansových ostrůvcích jsou makrofágy pak lymfocyty (T, B-lymfocyty)=inzulitida (lymfocytární infiltrace ostrůvku)=destrukce

Klinický obraz: příznaky jsou z hyperglykémie, často u mladých lidí dosud zdravých, a trvají krátko (cca několik týdnu)

  • žízeň až polydipsie (nadměrný smad)
  • polyurie a nykturie
  • ↓hmotnosti
  • únava
  • porucha vidění (snížená zraková ostrost)
  • nemoc se může manifestovat aj ketoacidotickým kómatem
  • ,,Honeymoon period“ – podánim inzulinu odbřemeníme B-buňky, které se snaží inzulin za každou cenu doplnit aby nebyl zvýšen cukr v krvi (pracují o stošest), takže B-buňky už nejsou tolik vytěžené (mohou si odpočinout) a dojde ke kratkodobému zlepšení (na 6-12 měsícu)(stoupa přechodně sekrece inzulinu) a k dobrej kompenzácii hyperglykémie
  • časem (po 6-12 měsících) ale dojde k úplnej destrukci B-buněk

Diagnóza: průkaz hyperglykémie za stanovených podmínek (viz.obecně)

  • Hyperglykémie (15-30mmol/l)
  • Dehydratace (↑Na+hypernatremie, ↑Cl hyperchloremie, hyperkapnie)
  • Někdy ↑urea, ↑kreatinin
  • ↑ lipidy: po kompenzaci diabetu mizí

Terapie: zakladním léčebným opatřením je inzulinoterapie

  1. individuální doporučení dietního režimu s podrobnou inštruktáži
  2. doporučení změny životního stylu: fyzická aktivita, zákaz kouření
  3. stanovení individuálních cílu
  4. edukace pacienta
  5. psychosociální péče
  6. farmakologická léčba
  7. pravidelné sledování pacienta

Farmakologická léčba:

Inzulin:

  • bazál-bolus:
    • bazál → inzulin s prodlouženým účinkem aplikován 1-2x/den
    • bolus → inzulin s kratkodobým účinkem před jídlem
  • léčbu začneme nižšími dávkami, protože ještě přetrvává endogenní sekrece a abychom zabránili hypoglykémii
  • další úpravy dávkovaní podle glykemických profilu
    • glykemický profil: pacient si měří glykémii před jídlem (bazální inzulin) a pak 2 hodiny po jídle od prvního sousta (preprandiální inzulin) a v 2:00-3:00 hodině v noci (ráno) → vyloučení noční hypoglykémie

Pozn.: ak dávame i.v. inzulin 36IU/den a prevedeme pacienta na s.c. inzulin tak polovina 18 IU bude podávana ve 3 bolusech po 6 IU(krátkodobě působicí inzulin před jídlem) a druhá polovina 18 IU 1x/den večer jako bazál

Inzulínová analoga:

  • jsou léky druhé volby ak je neuspokojivá kompenzace při léčbě humánnimí inzuliny HbA1c >60mmol/mol

Úpravy dávek inzulinu zvláštni situace:

  • ↑dávky se dávají u infekčního onemocnění, psychický stres
  • průjmy/zvracení: pití sladkých nápoju, přísny selfmonitoring, častější aplikace krátkodobě působicího inzulinu, bazální inzulin snížit nebo dočasně vysadit
  • ak je stres a dojde k jednorázovemu vzestupu glykemie:
    • jednorázová aplikace menšího množství krátkodobě působicího inzulinu (1-4IU)

Nefarmakologická léčba:

  • dietní opatření: regulovaná a pravidelná strava (regulovat příjem sacharidu)
  • fyzická aktivita: cokoli! aj 20 minut prechádzky je skvelé
  • stanovení glykémie nutně před začátkem cvičení, počas, a 1 hodinu po cvičení
  • dostatečný přísun sacharidu podle stupně zátěže

Sledování pacienta: 1x za 3 měsíce

  • zvážit pacienta
  • změrat krevní tlak
  • zkontrolovat glykemické profily
  • specificky přebrat hypoglykémii
  • fyzikální vyšetření (prevence komplikaci DM)
  • ↑riziko autoimunitních onemocnění (štítna žláza: kontrola TSH 1x/rok)

Tehotěnství:

  • častější selfmonitoring
  • přísnější dodržování diety
  • větší důraz na dosažení normoglykémie
  • před tehotěnstvím vysadit: ACE inhibitory a statiny

Kategórie
Endokrinologie

Léky používané v léčbě diabetu

Perorální antidiabetika

  1. Biguanidy: metformin
  • je lék 1.volby u DM 2. typu
  • úvodní dávka je 500mg/den, postupne můžeme dávku zvyšovat dle tolerance pacienta až na 2500-3000 mg/den
  • ma dlouhodobý příznivý efekt na kardivaskulární morbiditu a mortalitu
  • Mechanizmus účinku:
    • zvyšují senzitivitu jater a svalové tkáně k inzulinu
    • tlumí glukoneogenezi i vstřebávání glukózy v tenkém střevě
    • ↑inzulinovu senzitivit tým, že ↓jaterní glukoneogenezi a ↓glykemii nalačno)
  • Kontraindikace:
    • renální insuficience (clearence kreatininu/eGRF pod 30ml/min, mezi 30-60ml/min metformin taky nedávame, ak už metformin pacient užíva snížime dávky na polovinu)
    • srdeční selhání
    • tězké tkáňové hypoxické stavy
    • těžká respirační insuficience
    • ak se nerespektuje KI: riziko vzniku závažné ale vzácne komplikace: laktátové acidózy
  • Nežadoucí účinky: nevolnost, meteorismus, průjem (do několik týdnů ustupuje)
  • před chirurgickym výkonem: vysadit 48 hodin před
  • před podaním jodové kontrastní látky: vysadit 48 hodin před

2. Derivaty sulfonylurey: glimepirid, gliklazid

  • Mechanizmus účinku:
    • zvyšují sekreci inzulinu z β-buněk
    • snižují postprandiální (po jídle) glykemii
  • Nežadoucí účinky:
    • hypoglykemie (při předávkování)
    • ↑hmotnost (zvyšují chuť k jídlu)
  • Kontraindikace: renální insuficience
  • obézního diabetika je chybou podat derivát sulfonylurey jako lék 1.volby, protože neovlivňují inzulínovou rezistenci  a ↑hmotnost

3. Glitazony: thiazolidindiony, pioglitazon

  • Mechanizmus účinku: aktivují prostřednictvím jaderného receptoru PPAR-γ transkripci genů, odpovídajících za metabolické účinky inzulinu a zvýšení inzulinové senzitivity
  • léčba je v kombinaci s metforminem/deriváty sulfonylurey
  • Nežádoucí účinky:
    • ↑výskyt srdečního selhání
    • ↑hmotnost
    • ↑výskyt fraktur
  • Kontraindikace: srdeční selhání

4. Inkretiny: sitagliptin, vildagliptin, saxagliptin….

  • Inkretiny jsou peptidy uvolňované z trávicího traktu, které napomáhají dosažení glukózové homeostázy. Hlavními inkretinovými hormony jsou glukagon-like peptid-1 (GLP-1) a glukózo-dependentní inzulinotropní polypeptid (GIP). GLP-1 stimuluje sekreci inzulinu jako odpověď po příjmu potravy, inhibuje sekreci glukagonu a zpomaluje vyprazdňování žaludku. Vede tím k výraznému snížení výkyvů glykémie po jídle.
  • Mechanizmus účinku: ↑sekrece inzulinu pouze při hyperglykémií, při normalní hladine cukru v krvi nebo snížene sekrece inzulinu neovplivní) a ↓sekrece glukagonu
  • v kombinaci s metforminem/sulfonylerey
  • ↓hmotnost: je velmi výhodné u obéznich, příznivě na tlak (snižují tlak)

5. Glifloziny: dapagliflozin

  • Mechanizmus účinku:
    • inhibuji transportér v proximálnich tubulech ledvin a zvyšují glykosurii o cca 70g/den → kompenzace diabetu
    • mírně snižují hmotnost
    • snižují krevní tlak
  • Nežádoucí účinky: urogenitální infekce
  • v kombinaci s ostatnými p.o. antidiabetiky

6. Glinidy: repaglinid a nateglinid

  • působí rychle, takže jsou ideální k užívání s jídlem ke kompenzaci postprandiální hyperglykémie

TERAPIE INZULINEM

  • jediná léčba u DM 1.typu, léčba i u řady diabetiku 2.typu
  • endogénni sekrece u 70kg cca je 40IU/den:
    • bazální sekrece (neovlivněna příjmem potravy cca polovina)
    • postprandiální sekrece (vyvolána příjmem potravy, druhá polovina)
  • u DM 1.typu: nutne pokrýt celou denní dávku: 35-45IU/den
  • u DM 2.typu: není nutné pokrýt celou denní potřebu (10-15j.)/nebo/ je inzulinova rezistence a tá potřeba je zvýšena = dávka 80 a více j./den

TYPY INZULINU:

  • Krátkodobé: nahrazují postprandiální sekreci inzulinu
  • Dlouhodobé: nahrazují bazální sekreci inzulinu
  • Humánní inzuliny
  • Inzulínova analoga
  • Premixované inzuliny: jsou kombinace kratkodobe a dlouhodobe působícího inzulinu

Zásady použití inzulinu:

Krátkodoby, humánni inzulin:

  • pacient musí svačit mezi hlavními jídly a jíst před spanim, protože účinek je delší: je to prevence hypoglykémie
  • podáva se 20 – 40 minut před jídlem aby hladina inzulinu byla dostatečna

Krátkodobá analoga:

  • kratší doba účinku, není potřeba jíst mezi hlavními jídly
  • rýchlejší nástup účinku: podávame 10 – 15 minút před jídlem

Dlouhodoby, humánní inzulin:

  • délka není dostatečná (14-16hodin) někdy nutno aplikovat 2x do dna ráno/večer
  • většinou se podáva 1x večer (těsně před spaním) a v kombinaci s 3x do dna aplikovaného kratkodobého humánního inzulinu

Dlouhodobě působící analoga:

  • aplikujeme 1x do dna večer

Režimy aplikace inzulinu:

  • Konvenční režimy
  • Intenzifikované režimy

Konvenční režimy:

  • inzulin se podáva nejvýše 2x denně
  • Aplikace dlouhodobě působicího inzulinu 1x denně večer:
    • u DM 2.typu: snížení hyperglykémii nalačno
  • Aplikace premixovaných inzulinu 2x denně před snídani a večeři
    • ovlivní glykémii nalačno a  po jídle (glykémie postprandiální)

Intenzifikované režimy:

  • inzulin se podáva nejméně 3x denně
  • často v kombinaci: dlouhodobě a krátkodobě působící inzulin
  • nejpokročilejší forma: inzulínová pumpa: důležitá edukace pacienta
  • jediná terapie u DM 1.typu

1. systém bazál-bolus:

  • dlouhodobě působici (,,bazálni“) inzulin aplikujeme 1x denně a kratkodobě působici inzulin v bolusech před jidlem

2. inzulínova pumpa

Způsoby aplikace:

  • Inzulínové stříkačky (pouze nemocnice- pacienti musí vědět aplikovat)
  • Inzulínove pera: většina
  • Inzulínova pumpa
  • Intravenózně (urgentní stavy)
Kategórie
Endokrinologie

DIABETES MELLITUS

Definice: je chronické endokrinně-metabolické onemocnění v důsledku  absolutniho nebo relativniho nedostatku inzulinu, postihující metabolismus sacharidů, lipidů, proteinů a vodní a minerálové hospodaření. Skupina metabolických onemocnění, pro které je společná chronická hyperglykémie.

Chronická hyperglykémie glykosurie osmotická diuréza

Dělení:

  • DM I. typu = inzulin-dependentní (IDDM)
    • inzulín se netvoří, absolutní inzulínodeficience
  • DM II.typu = většinou non inzulin-dependentní (NIDDM)
    • inzulinorezistence, porušená sekreční dynamika, relativní inzulinodeficience (opožděná sekrece …)
  • Sekundární DM – při endokrinopatiích (Cushingův syndrom, akromegalie, tyreotoxikosa, feochromocytom, při nemocech pankreatu)
  • (vzácné) genetické syndromy
  • vliv léků (thiazidy, kortikoidy)
  • gestační DM

PREDIABETES: Hraniční poruchy glukozové homeostázy:

  • ↑ zvýšena glykemie nalačno
  • porušená glukózová tolerance

Epidemiologie:

  • Prevalence (ČR): 8% pacientů (840 000) a cca 5% je nediagnostikováno
  • Prevalence (prediabetici): cca ďalších 8%
  • DM 2.typu: 92%
  • DM 1.typu: 7%
  • Ostatní typy: 1%

Etiopatogeneze:

  • DM 1.typu: destrukce B-buněk autoimunitou (autoimunitní inzulitida)
  • DM 2.typu: porucha funkce B-buněk/ inzulínová rezistence

Inzulinova nedostatečnost: absolutní/relativní

Příčiny:

  • inzulín se netvoří v B-buňkách Langerhansových ostrůvků
  • inzulín se tvoří defektní
  • inzulín se tvoří, ale není uvolňován z B-buněk
  • inzulín je v cirkulaci rychle eliminován (Ig)
  • nedostatek receptorů nebo postreceptorova blokáda působení
  • zvýšené působení kontraregulačních hormonů

Projev nedostatku inzulinu: !!!!!!!!!!!!!

  • ↓ vychytávání glukózy do buněk (tuk, sval)
  • ­↑ glukoneogeneze v játrech a ledvinách
  • ­↑ glykogenolýza:
    • ↑ glykémie, hyperosmolarita plasmy
    • glykosurie z překročení renalniho prahu
    • osmotická diuréza, dehydratace, ztráty Na, K
  • ­↑ lipolýza
  • ↓ lipogeneze
  • ­↑ tvorba ketolátek v játrech → přesáhne utilizační schopnost tkání → ketoacidóza, acetonurie
  • akutní a chronické komplikace diabetu

Klinický obraz:

  1. klasické příznaky: žízeň, polydipsie(chorobný smad), polyurie (>2,5l moči/den), nykturie, hubnutí, únava, ↓ zrakové ostrosti
  2. poruchy vědomí:
    1. hypoglykemie → porucha vědomí (komplikace léčby)
    2. hyperglykemie → porucha vědomí
  3. náchylnost k infekcím
  4. mikrovaskulární a makrovaskulární komplikace
  1. Klasické příznaky:

Uvedené příznaky jsou často u DM 1.typu:

  • glykosurie (vzniká ak překročí renálni absorpční prah cca 10-12 mmol/l) ak je výrazná tak vzniká → osmotická polyurie → dehydratace → ↑pocit žízně → polydipsie (↑příjem tekutin-chorobny)
  • hubnuti → je způsobeno ztrátou tekutin, ↓příjem jídla (nechutenství)
  • Zrak → změny koncentrace glukózy a osmotických poměru v oku

DM 2.typu: často oligosymptomaticky (jenom celková únava) nebo asymptomaticky průběh → zjištěno náhodně (laboratorní vyšetření)

  • ketoacidotické kóma (↑DM 1.typu, méně DM 2.typu)
  • hyperglykemické hyperosmolární kóma (↑DM 2.typu) → pri glykemii → glykemie: ↑30-40mmol/l
  • hypoglykemie: glykemie pod 3,5mmol/l, porucha vědomí při 2mmol/l
  • urogenitální infekce (uroinfekce, vulvovaginitidy, balanitidy): mykotického původu, kožní infekce (furunkly, karbunkly)
  • pozdní komplikace: mikro-makrovaskulární komplikace

Diagnóza:

  • Anamnáza a fyzikální vyšetření
  • Laboratorní vyšetření:
    • musí být prokázaná hyperglykemie při vyšetření v žílní plazmě za stanovených podmínek:

Hodnocení glykemie:

  • glykemie nalačno (nejméně 8hodin nejíst) fyz.hodnoty: 3,9-5,5mmol/l
  • náhodna glykemie
  • glykemie ve 120.minute orálniho glukózového tolerančního testu (oGTT) fyz.hodnota: <7,8 mmol/l

Současná diagnostika DM v ČR:(prednaska_Skrha_diabetologie)2017

  • Nahodna glykemie ≥ 11,1 mmol/l + klinické příznaky DM
  • Glykemie nalačno ≥ 7,0 mmol/l po 8hod. lačnění + další opatření
  • Glykemie za 2 hod. pri oGTT ≥11,1 mmol/l: při pochybnostech, při rozporu hodnot glykemie, screening rizikové populace
  • HbA1C ≥ 47 mmol/l v USA ne v ČR
  • časná detekce diabetu (do budoucna): miRNA
  • Orální glukózový toleranční test (oGTT): je vyšetření glykemie nalačno a 2 hodiny po vypití 75g glukózy ve 200ml vody (čaje).
  • Další laboratorní ukazatele DM:
    • C-peptid: stanovi odhad sekrece inzulinu, určí stupeň inzulinového deficitu
    • protilatky proti antigenum B-buněk (proti dekarboxylaze kyseliny glutamove, proti inzulinu…)

Posouzeni kompenzace DM:

  • z krve (v laboratoři měříme ze žilní plazmy, doma pacient osobním glukometrem z kapilární krve):
    • HbA1C (glykovany hemoglobin): parametr dlouhodobe kompenzace DM 6-8 týdnu, norm. hodnoty pod 4 %
      • Glc + H2N-bílkovina → Schiffova baze → ketoamin → glykovaný protein
      • Glykemie: parametr krátkodobe kompenzace DM
      • Kontinuální monitorace glykemie: pomoci podkožních senzoru
  • vyšetření z moče: gykosurie, ketonurie a ketonemie

Laboratorní nález při DM

  • hyperglykemie
  • glykosurie
  • ketoacidóza (ketolátky v moči a krvi)
  • ↑glykovany hemoglobin
  • dyslipidemie

Vždy sledovat komplikace:

  • oftalmologické vyšetření
  • renální vyšetření
  • kardiologické vyšetření
  • lipidové spektrum

Diferenciální diagnóza:

  • o jaky typ diabetu se jedna
  • jiné příčiny: stresové situace (sepse, polytraumata..)

Screening diabetu u zdravých osob: glukometrem v kapilární krvi

  • jednou za 2 roky (nerizikový pacienti, nad 40 let)
  • jednou ročně u osob s ↑rizikem (+RA, dyslipidemie, hypertenze…)
  • u onemocnění a situaci s rizikem rozvoje DM
  • u osob s klinickými příznaky

Terapie:

  • Společný cíl terapie:
    • normoglykemie
    • ↓rizika akutnich a chronickych komplikaci
  • Nefarmakologická/farmakologická terapie DM (hyperglykemie)
  • Edukace pacienta
  • Selfmonitoring glykemie
  • Léčba dalších poruch – hypertenze, dyslipidemie, obezita
  • Pravidelné kontroly

Doporučení (nejen) pro diabetiky:

  • Rychlejší chůze alespoň hodinu 3x týdně
  • Pravidelná strava
  • Racionální strava s omezením sladkých nápoju a alkoholu

Trendy v léčbě DM 2typu:

  • časná farmakoterapie
  • lecba k cilovym hodnotam
  • omezit vyskyt hypoglykemii
  • redukce hmotnosti

Farmakoterapie:

  • DM 1.typ(podrobně u DM1): inzulin
    • při léčbě inzulinem je komplikace hypoglykemie
  • DM 2 typ(podrobně u DM2): p.o. diabetika: metformin
Kategórie
Hematologie

MIKROANGIOPATICKÁ HEMOLYTICKÁ ANEMIE

MAHA = skupina chorob

EXTRAKORPUSKULÁRNÍ HEMOLYTICKÁ ANÉMIE

  1. Hemolyticko – uremický syndrom (HUS)
  2. Trombotická trombocytopenická purpura (TTP)
    • AdamTS13 deficit = TTP vrozená vs. protilátky = získaná
  3. HELLP sy (Hemolysis Elevated Liver enzymes Low Platelet Count), preeklampsie, eklampsie
  4. Katastrofický antifosfolipidový syndrom
  5. Sekundární MAHA:
    • DIC, vaskulitidy, akutní GN, po SCT, diseminované nádory, operace chlopní, AV malformace, sepse
    • léky – ticlopidin, cytostatika: Mitomycin, Cisplatina, Bleo..
    • děti: E. coli, shigella, salmonella

Etiopatogeneze:

Etiologie TTP: deficit ADAMTS13 (A Disintegrin And Metalloprotease with ThromboSpondin type 1 repeats)

  • Role ADAMTS13:štěpí vWF = brání vzniku multimerů, vWF = tím vzniku destičkových agregátů…
  • Deficit ADAMTS13 = ultravelké multimery vWF s projevy klinicky manifestní TTP
  • Formy deficitu ADAMTS13 :
    • získaná (sporadická) forma = autoprotilátky
    • vrozená (vzácně).. hetero- homozygotní mutace genu ADAMTS13
  • Prognostický význam stanovení hladiny ADAMTS13 Ag:
    • ↓ ADAMTS13 Ag v akutní fázi onemocnění = ↑ mortalita
    • ↑ hladina ADAMTS13 Ag = klinické zlepšení

Mechanismus: poškození endotelu cévní stěny – uvolnění multimerů vWf. do cirkulace + depozita fibrinu v místě poškození + destičkové agregáty + zúžení cévy – mechanické rozrušení ery – hemolýza

Patofyziologie: fragmentace krvinek – schistocyty – zvýšený zánik ve slezině, při intravaskulární hemolýze + současně aktivace koagulačního systému – DIC s tvorbou mikrotrombů v cirkulaci

Klinický obraz:

Kombinace:

  • hemolytická anémie
  • trombocytopénie
  • mikrotromby CNS: iktus, křeče, cefalea, ledviny: ren. insuficience

HUS hemolyticko uremický syndrom

  • hemolytická anémie
  • trombocytopenie
  • akútní renální postižení
  • neurologické projevy

TTP trombotická trombocytopenická purpura

  • mikrovaskulární trombózy
  • trombocytopenie
  • mikroangiopatická hemolytytická anémie
  • ischemie orgánů

HELLP v graviditě:

  • Hemolýza
  • poruchy jaterních funkcí
  • trombocytopenie
  • DIC

Diagnóza:

Laboratorní vyšetření:

  • anémie
  • retikulocytóza
  • ↑schistocyty, akantocyty, sférocyty
  • trombocytopenie se známkami DIC
  • nález multimerů při elfo vWF při TTP
  • molekul. genet ADAMTS13 Ag deficit; Coombs negat !!
  • ↑ přímý i nepřímý bilirubin v séru
  • LD
  • haptoglobin
  • ↑ proteinurie
  • ↑Hb-urie
  • ↑volný Hb
  • kreatinin a urea

Terapie:

  • léčba vyvolávající příčiny
  • u TTP/HUS:
    • substituce čerstvou zmraženou plasmou + výměnná plasmaferéza
    • kortikoidy
    • antikoagulancia
    • transfuze erytrocytů

Kategórie
Hematologie

AUTOIMUNITNÍ HEMOLYTICKÁ ANÉMIE

EXTRAKORPUSKULÁRNÍ HEMOLYTICKÁ ANÉMIE

Definice: je tvorba protilátek proti vlastním erytrocytům s jejich následnou destrukcí.

Epidemiologie: 0,8 – 1/100.000/rok

Etiopatogeneze:

  1. Tepelné protilátky = IgG
    • optimální vazba na erytrocyty při 370C
    • závažný klinický nález + závažný laboratorní nález
  2. Chladové protilátky = IgM
    • vazba při 40C, optimum 200C
    • normální klinický nález + závažný laboratorní nález
  3. Smíšené

Sekundární AIHA s tepelnými protilátkami:

  • Autoimunitní choroby, systémove choroby pojiva:  SLE, RA, sklerodermie, ulcerosní kolitida …,
  • Maligní lymfoproliferatívni choroby: CLL, NHL, HL…
  • Solidní nádory
  • Infekce (virové)

Primární: Idiopatická AIHA s tepelnými protilátkami:

  • je nejčastější hemolytická anémie: Incidence: 1/80.000/rok
  • Charakteristika:
    • zkrácené přežívání ery
    • tvorba protilátek proti vlastním ery

Etiologie: neznámá

  • tepelné autoprotilátky – IgG
  • monoklonální nebo polyklonální (kappa i lambda, podtřídy IgG1 a IgG3)
  • antigeny – bílkovinné povahy
  1. součástí membrány ery
  2. periferní – přichyceny k membráně ery
  • ery + auto Ab (PAT+) → RES sleziny = extravaskulární hemolýza
  • vysoký titr autoAb (NAT+) = intravaskulární hemolýza

Na povrchu ery u AIHA – 3 typy senzibilizace:

  • 1. typ: IgG
  • 2. typ: IgG + složky komplementu
  • 3. typ: pouze komplement
  • autoprotilátky na povrchu ery v dynamické rovnováze s protilátkami v plazmě – průkaz v nepřímém Coombsově testu
  • menší koncentrace protilátek nebo komplementu vyvolá hemolýzu in vivo, ale nepřímý Coombs je negativní (vysycení) – potíže při Dg

Klinický obraz:

Akutní forma – děti:

  • žloutenka, bolesti břicha, zvracení
  • začátek často při horečnatém onemocnění (viróza)
  • hemoglobinurie

Chronická forma – dospělý:

  • pozvolná hemolýza s postupnou anemizací
  • hepatosplenomegalie
  • Anemický syndrom:
    • ikterus
    • tachykardie
    • dušnost

Diagnóza:

Krevní obraz:

  • anémie makrocytová (Hb <50g/l, MCV: 100fl)
  • ↑ retikulocytů
  • mírna leukocytóza
  • trombocyty v normě

Biochemie: ↑ bilirubin přímy + nepřímy, ↑ Urobilinogen v moči

Imunohematologické vyšetření:

  • PAT = přímy antiglobulinový test = př. Coombsův test – průkaz protilátek na povrchu ERY
  • NAT = nepřímy antiblogulínový test = nepř. Coombsův test – průkaz volných autoprotilátek v séru

Základní charakteristika intravaskulární hemolýzy: !!!!!

  • normochromní, normo /makro/ cytární anémie
  • ↑ retikulocytóza
  • ↑ nepřímý bilirubin
  • ↑ LDH
  • ↓ haptoglobin

Diferenciální diagnóza:

  • Korpuskulární hemolytické anemie: není přítomna pozitivita Coobsova testu
  • Důkladné celkové vyšetření: odhalit možnou přícinu hemolýzy!!

Terapie:

  • Imunosuprese:
    • Prednison: 1 – 2g i.v. denně 5 dní
    • při dobrém efektu rychlý pokles na dávku 1 mg/kg
  • Kombinace: prednison + cyklofosfamid: tbl. 50 – 100mg  (20% pacientů)
  • RITUXIMAB (MabThera): anti CD20 monoklonální protilátka
  • Plazmaferéza
  • i.v. IMUNOGLOBULINY 0,1 – 1,0g /kg /den
  • Trf ery – vitální indikace – pečlivý monitoring vitálních funkcí – zajištění kortikoidy ….

Terapie na JIP:

  • Transfuze inkompatibilních ERY (typovaných dle fenotypu), stále nebylo k dispozici vysycené sérum na TO, bez reakce
  • Navýšení imunosuprese: SM 2x 500mg – rituximab 375mg/qm, 4 dávky á 1 týden (chladová AIHA obecně hůře odpovídá na IS terapii)
  • Imunomodulační léčba: intravenozní imunoglobuliny 4x 0,5gr/kg
  • Plazmaferéza 2x denně

1. Při akutní hemolýze s pozitivním Coombsem okamžitě kontaktuj transfuzní odd.:

  • identifikace protilátky – chladová/tepelná a nejlépe stanovení jejího titru
  • vysycení séra pacienta od autoprotilátek pro zajištění kompatibilního křížového testu (1-2 pracovní dni, ne víkend)

2. Rozhodnutí zda trasfundovat ERY?

  • Dle kliniky/rychlosti rozvoje anémie, i malé množství krve může zachránit život
  • V urgentním případě transfundujeme ERY inkompatibilní v křížového testu z vitální indikace, dle pravidla:
    • U žen které nebyly těhotné a trasnfundované a mužů kteří nebyli trasnfundovaní máme skoro jistotu že nemají přítomnou allo-protilátku: stačí ABO a RhD kompatibilita
    • U ostatních v případě urgence vyžaduji podrobnější výběr ERY dle shodnosti fenotypu navíc v C,c, E,e, Kell, Kid a S/s
  • Vždy biologický in vivo test kompatibility: po premedikaci steroidy, rychle podat 20ml krve a počkat 20 min., zda se nevyskytne rakce…

3. Jaká imunosupresní therapie u život ohrožující hemolýzy?

  • metylprednisolon ve vysoké dávce (2x 0,5-1,0gr/den)
  • Plazmaferéza
  • IVIG – mají v therapii AIHA pouze krátkodobý efekt, ale v případě urgence mají své opodstatnění. (podávat po PLF)
  • další: rituximab, CFA – volejte hematologa
Kategórie
Hematologie

TROMBOCYTOPENIE

Definice: je pokles počtu destiček. Vzniká nepoměrem mezi novotvorbou a zánikem trombocytů. Příčinou je selhání tvorby destiček v kostní dřeni nebo jejich urychlený zánik.

Klinický obraz: spontánní krvácive projevy až při poklesu pod 30-10×109/l

Laboratorní vyšetření: prodloužena doba krvácivosti, + venostatický test, porušena retrakce koagula, snížená komzumpce protrombinu

Dělení:

Trombocytopenie ze snižené tvorby krevních destiček:

  • Trombocytopenie amegakaryocytární
  • Trombocytopenie megakaryocytární
  • Myelodysplastický syndrom

Trombocytopenie ze zvýšeného zániku krevních destiček:

  • Imunní trombycytopenie
  • Trombotická trombocytopenická purpura
  • Hemolyticko – uremický syndrom
  • Heparinem indukovaná trombocytopenie

Trombocytopenie ze snižené tvorby krevních destiček:

  1. Trombocytopenie amegakaryocytární
  2. Trombocytopenie megakaryocytární
  3. Myelodysplastický syndrom

1.TROMBOCYTOPENIE AMEGAKARYOCYTÁRNÍ

Definice: je trombocytopenie ze snížené tvorby krevních destiček (útlum novotvorby). Množství megakaryocytů v kostní dřeni je snížené, nebo úplně chybějí. Útlum býva izolovaný nebo postihuje celou myeloidní řadu.

Dělení:

  • Vrozené – vźacné
  • Získané (sekundární) – po léčbě myelotoxickýmí látkami, ionizující záření, vírové infekce, infiltrace kostní dřeně nádorem (leukemické buňky, metastáza karcinomu), při pokročilé fibróze kostní dřeni při myeloproliferatívím onemocněním, aplastická anemie

Etiopatogeneze: předpokláda se účast (při idiopatických) imunitnních dějů

Diagnóza: vyšetření kostní dřeně

Klinický obraz: spontánní krvácive projevy: až při poklesu pod 30-10×109/l

Terapie:

  • Sekundární příčiny – terapie primárního onemocnění, nebo odstraněnní vyvolávajícího agens
  • Část reaguje na imunosupresivní terapii
  • Může být indikováná alogenní transplantace kostní dřeně
  • Symptomatická léčba: inhibitory fibrinolýzy (PAMBA, EACA)
  • Převody krevních destiček

2.TROMBOBYTOPENIE MEGAKARYOCYTÁRNÍ

Definice: je trombocytopenie ze snížené tvorby krevních destiček. V kostní dřeni je normálný nebo zvýšený počet megakaryocytů ale vykazují různé tvarové odchylky.

Patří sem:

  • Trombocytopenie u megaloblastových anémií
  • Paroxysmální noční hemoglobinurie
  • Myelodysplastický syndrom

Trombocytopenie ze zvýšeného zániku krevních destiček:

  1. Imunní trombycytopenie
  2. Trombotická trombocytopenická purpura
  3. Hemolyticko-uremický syndrom
  4. Heparinem indukovaná trombocytopenie

TROMBOTICKÁ TROMBOCYTOPENICKÁ PURPURA

Definice: je trombocytopenie ze zvýšeného zániku trombocytů s klasickým klinickým obrazem zahrnujícím pentádu: hemolytickou anémii, trombocytopenii s krvácivými projevy, s neurologickou symptomatológií a centrálními febriliemi a ďalším orgánovým postižením hlavně ledviny. Je často poddiagnostikovaná, bez terapie umírá 90% pacientů.

Epidemiológie: 3 – 7/1 milion/rok,  průměrný věk při záchytu 35 let

Etiopatogeneze:

Etiologie: deficit metaloproteinázy: ADAMTS13, v důsledku autoprotilátek

Patogeneze: v normálních hemostatických poměrech multimery vWF adherují na endotel cévní stěny a trombocyty adherující na vWF svým membránovým proteinem GPIb. Aby nedocházelo k dalšímu narůstání trombu jsou multimery vWF štěpeny ADAMTS13. V případě deficitu ADAMTS13, pokračuje akumulace trombocytů, dochází k trombotizaci v mikrocirkulaci, ischemizaci tkání a TTP.

Dělení:

  • Familiární: raritní
    • Upshaw-schulman syndrom vznikající mutací ADAMTS13 g.
  • Získaná: naprostá většina
    • Idiopatická 40 – 50 %
    • Sekundární: těhotenská/po-porodní, poléková (chinin, chemotherapie, calcineurinové inhibitory), další onemocnění: postinfekční, SLE, autoimunity, malignity

Klinický obraz:

Klasická knižní diagnostická „pentáda“:

  • hemolytická anémie
  • trombocytopenie
  • neurologické symptomy
  • renální postižení (mírné – proteinurie, hematurie)
  • horečky
  • Přítomny všechny symptomy najdeme u cca 5% pacientů
  • Jedná se o závažný a průdký průběh: pacient je ohrožen ischemizací a krvácením do CNS

Další klinické symptomy:

  • Gastrointestinální symptomy (69 % pacientů): bolesti břicha, nauzea, zvracení, průjem
  • Neurologické symptomy (66 % pacientů):
    • velké (iktus, křeče, koma) 35%
    • malé (zmatenost, bolesti hlavy) 31%
  • Slabost (63 % pacientů)
  • Krvácivé projevy, hematurie, purpura (54 % pacientů)
  • Dušnost (29 % pacientů)
  • Horečka (23 % pacientů)
  • Bolesti na hrudi (22 % pacientů)

Diagnóza:

Je vysoce suspektní pokud je přítomna:

  • mikroangiopatická hemolytická anémie
  • trombocytopenie (většinou < 40 tisíc, průměr 16 tisíc)
  • +/- renální postižení
  • +/- neurologická symptomatologie e) Možno vyloučit jinou příčinu trombotické mikroangiopathie (TMA)

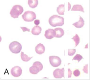
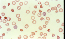
a) mikroangiopatická hemolytická anémie:

  • Negativní Coombsův test
  • ↑ bilirubin
  • ↑ LDH
  • ↓ haptoglobin
  • ↑ počet schistocytů
  • (běžná laborantka i o službě v nátěru odečte zvýšený počet schistocytů a zároveň vyloučí shluky trombocytů při EDTA – pseudotrombocytopenii)

Coombsův test (antiglobulinový test, AGT) slouží k testování přítomnosti protilátek proti erytrocytům. Rozlišujeme 2 varianty Coombsova testu:

  1. Coombsův test přímý slouží k diagnostice hemolytických anémií  způsobených antierytrocytárními protilátkami. Pomocí protilátek proti antierytrocytárním protilátkám testujeme přítomnost těchto antierytrocytárních protilátek na membráně erytrocytu.
  1. Coombsův test nepřímý slouží k detekci antierytrocytárních protilátek v krevní plazmě u pacientů po opakovaných krevních transfúzích. Pomocí protilátek proti antierytrocytárním protilátkám testujeme přítomnost antierytrocytárních protilátek v krevní plazmě.

Diferenciální diagnóza:

  • Maligní hypertenze – může způsobit mikroangiopatickou hemolytickou anémii, trombocytopenii, renální selhání i neurologické symptomy.
  • Systémová infekce – septikémie jakékoliv etiologie (bakterie, plísně, viry) může vyvolat trombocytopenii a mikroangiopathickou hemolytickou anémii. Dif.dg. horečky, zimnice, plicní infiltráty nejsou u TTP časté.
  • Systémová malignita – může způsobit trombocytopenii i anémii. Dif.dg. postižení jater nebo plic je raritní u TTP. Početní změny v leukocytech (nahoru/dolu) ozřejmí mikroskopický diferenciál z nátěru event. punkce KD.
  • Preeklampsie/HELLP syndrom – může vyvolat trombocytopenii, mikroangiopathickou hemolytickou anémii, renální selhání i mírné neurologické příznaky.

Terapie:

1. Výměnná plazmaferéza (PLF)

  • dochází k substituci ADAMTS13 a zároveň odstranění autoprotilátek inhibujících její aktivitu
  • 1x denně, 1-1,5x plazmatického objemu pacienta
  • náhradním roztokem je čerstvě zmražená plazma

2. Čerstvě zmražená plazma (pouze) pokud není PLF dostupná ihned, je akceptovatelné její podání jako bridge k PLF

  • v dávce 30-50 ml/kg/den.

3. Transfuze trombocytů:

  • dogma, že substituce trombocyty je absolutně kontraindikována, již neplatí
  • při závažném krvácení se trombocyty substituují
  • při přípravě na invazivní výkon (například dialyzační kanyla) trombocyty profylakticky nepodávám, ale jsou v rezervě na TO k okamžitému podání v případě komplikací
  •  profylakticky trombocyty nepodám i při velmi nízké hodnotě

4. Kortikosteroidy (inhibice tvorby autoprotilátek proti ADAMTS13)

  • Nejednoznačná doporučení dávkování, ale pacienti v dobré kondici bez neurologických symptomů:
    • Prednison 1mg/kg/den p.os.
  • Pacienti akutně nemocní:
    • Methylprednisolon 2mg/kg/den iv., ve 2 dávkách
  • U pacientů s podezřením/potvrzení na E.Coli enteritidu/infekci steroidy neindikovány.
    • V praxi – zahájíme léčbu jako idiopatickou TTP a po několika dnech a určení dg. E.Coli TTP-HUS se kortikoidy detrahují

Hodnocení léčebné odpovědi:

  • Dle hodnot trombocytů:
    • vzestup očekáváme 2 – 3 den PLF
    • normalizace dosáhneme za cca 1 týden
    • společně se vzestupem Trombocytů, klesá bilirubin, LDH a schistocyty
  • Zlepšení neurologických symptomů může být i prvním příznakem terapeutické odpovědi, plná reverzibilita neurologického deficitu je pravděpodobná
  • Korekce anémie je významně pomalejší než u trombocytů
  • Korekce renálního selhání také pomalejší, úplná recovery není jistá

Postup po dosažení remise:

  • Pokud jsou 2 dny stabilní trombocyty >150 tisíc:
    • prodloužím interval PLF na obden, cca na 1 týden
    • redukce steroidu
  • Pokud je počet trombocytů stabilní cca 1 týden od zahájení redukce léčby:
    • pacient je k překladu na standardní oddělení
    • zde ukončujeme PLF, CŽK EX
    • převádím na steroidy p.os., jejich další redukce pomalejší á 1 týden

Refrakterní k 1. linii

  1. po 4 – 7 dnech plné terapie bez vzestupu trombocytů
  2. po přechodném zvýšení Trombocytů opět dochází k poklesu často s novými neurologickými symptomy

Intenzifikace terapie:

  • Metylprednisolon 1000mg/den na 3 dny
  • Výměnná PLF 2xdenně
  • Rituximab 375mg/qm 1xtýdně, 4 dávky

Další možnosti:

  • Imunoabsorbce na Stafylokokových A kolonách
  • Posílení imunosuprese: CFA, vincristine, CSA

Prognóza:

  • Závažnost správné diagnostiky a terapie TTP vyplývá ze skutečnosti, že mortaliza neléčených pacientů je 90%
  • V současnosti docilujeme ČR v 75 – 85 % léčených případů
  • Celkově dochází k cca 35% k relapsu v 5ti letech s nejvyšším rizikem relapsu 1. rok po ukončení terapie.
  • Polékové, těhotenské TTP většinou nerelabují

HEPARINEM INDUKOVANÁ TROMBOCYTOPENIE

(HIT)

Heparinem indukovaná trombocytopenie I. typu:

  • pokles trombocytů, nikdy pod 100×109/l
  • neimuními mechanismy, zcela benigní průběh, sama odezní
  • 10 – 30 % pacientů dostávajících heparin
  • většinou 4 den podávání heparinu
  • nevyžaduje léčbu, heparin se neukončuje

Heparinem indukovaná trombocytopenie II. typu: je klinicko – patologický syndrom definovaný:

  1. trombocytopenií
  2. +/- trombozou
  3. v jasné časové souvislosti s podáním heparinu
  4. způsobený přítomností HIT protilátek

Etiopatogeneze:

HIT II. typu:  je imunního původu

  • Heparin se váže na destičkový PF4 = deštičkový faktor 4 → komplex PF4/heparin může být rozeznán jako cizorodý antigen a dojde ke tvorbě autoprotilátek: anti-PF4 /heparin complex IgG (HIT-Ab)
  • HIT – protilátky způsobí:
    • trombocytopenii
    • další aktivací trombocytů a monocytů se zvýšenou produkcí tkáňového faktoru, je paradoxně při současné trombocytopenii významně zvýšená incidence trombózy

Epidemiologie:

  • Vytvoření a detekce HIT – protilátek:
    • U pacientů dostávajících heparin není podmínkou rozvoje klinické HIT:
      • kardiologický pacient: 2 – 5 % HIT – Ab
      • ortopedická operace: 15 – 30 %
      • kardiochirurgické výkony: 30 – 70 %
  • Incidence klinické HIT je výrazně nižší:
    • UFH (nefrakciovaný heparin): 1 – 5 %
    • LMWH (nizkomolekulární hepariny): 1 %
    • Kardiochirurgie: 2,4 %
    • ICU celkově: 2%

Dávkování heparinu:

  • i profylaktické dávkování zvyšuje riziko tvorby HIT – Ab
  • klinická manifestace HIT je častější u heparinu v terapeutickém dávkování

Diagnóza:

1. Trombocytopenie:

  • První projev HIT (85% pacientů): je pokles trombocytů pod 150 tisíc nebo o 50% vstupní hodnoty → typicky poklesnou na hodnoty 40 – 80tisíc → pouze u 5 – 10 % pacientů poklesnou pod < 20 tisíc
  • Zvláště u těžké trombocytopenie musíme pátrat po dalších možných příčinách!

2. Doba vzniku trombocytopenie:

  • Typický průběh: 5 – 10 dní po zahájení heparinu
  • „rapid onset“ HIT: v průběhu 24 hodin od zahájení heparinu, v důsledku již přítomných HIT – Ab u pacientů, kteří dostávali heparinu v posledních 100 dnech. Možné alergické projevy zimnice, třesavka, horečka

3. Trombotické komplikace:

  • u 30 – 70 % HIT jsou přítomné trombotické komplikace
  • !!! v případě vzniku trombózy po zahájení plné heparinizace, nelze vyloučit HIT, i když nedošlo k poklesu trombocytů
  • až 40% trombóz vzniká 3 dni před vznikem trombocytopenie

4. Další komplikace:

  • i při poklesu trombocytů < 20 tisíc, riziko závažného krvácení je nízké
  • u 10 – 20 % pacientů se průměrně 8. den po nasazení heparinu vytváření kožní léze, od erytému po nekrózu

5. Laboratorní diagnóza: ELISA IgG – HIT – Ab  

  • Negativní – vylučuje HIT
  • Positivní (viz. výše) – nepotvrzuje diagnózu, nutno v kontextu klinické manifestace a laboratorních nálezů

Diferenciální diagnóza trombocytopenie:

  • DIC
  • Septické a infekční stavy
  • Pseudotrombocytopenie (EDTA)
  • Léky indukovaná trombocytopenie: NSA, ticlopidin, antibiotika, trombolýza, imunosuprese a chemotherapie (CFA, AZA, MTX…, časový odstup!)
  • Masivní transfuze
  • Masivní tekutinová resuscitace
  • ITP – jaterní selhání, hypersplenismus
  • Antifosfolipidový syndrom, SLE

Terapie:

1. Obecně:

  • Ukončit léčbu heparinem, vyloučit přítomnost heparinových zátek, heparin-coated katétrů nebo filtrů
  • Pokud není závažné krvácení, profylaktické podání trombokoncentrátů je nevhodné, zvyšuje riziko trombotických komplikací a vzestup počtu trombocytů je mizivý
  • Použití antagonistů vitaminu K je kontraindikované – výrazné zvýšení rizika trombózy (rychlý pokles proteinu C, versus delší poločas ff.II,VII,IX,X)

2. Zahájení alternativní antikoagulační terapie:

  • Přímé inhibitory trombinu:
    • Lepirudin (REFLUDAN 20mg, i.v., Avensis)
      • Monitorace účinku: 1,5 – 2,0 x norma aPTT, nástup účinku do 15 minut, poločas 1 – 2 hodiny, neni antidotum
      • Dávkování: 0,4 mg/kg bolus, následuje kont. 0,15/kg/hod
      • Metabolizován ledvinami – nutná úprava dávky
    • Dabigatram (PRADAXA tbl.)
      • Nástup účinku do 2 hodin, dávkování 2xd
      • Nemá antidotum
  • Nepřímé inhibitory faktoru Xa:
    • Fondaparinox (ARIXTRA, 2,5mg, s.c.,)
      • Byť se jedná o heparinový analog, jeho vazba na destičkový faktor PF4 je minimální = minimální riziko zkřížené reakce u HIT
      • Dávkování 2,5 mg 1xd s.c.
      • Monitorace účinku – antiXa
      • Vylučován ledvinami, může se kumulovat

Kategórie
Hematologie

TROMBOFILNÍ STAVY

Definice: trombofilie (synonymum hyperkoagulační stav) znamená zvýšenou dispozici k tvorbě trombů v cévním systémů, která předchází vlastnímu procesu trombogeneze.

Epidemiologie: výskyt se zvyšuje s věkem >60let

Etiopatogeneze:

Etiologie: multifaktoriální jehož riziko se zvyšuje přítomností různých faktorů: podnět + trombofilie = trombus

Podněty – operace, imobilita, gravidita, kombinovaná p.o. antikoncepce, dehydratace, nádory…

Dělení:

Dedičné:  

  1. zvýšení hladiny koagulačních faktorů
  2. dysfunkce přirozených inhibitorů koagulace
  3. selhání fibrinolýzy
  4. metabolické poruchy- Lp(a), MTHFR
  5. jiné

1) Zvýšené hladiny koagulačních faktorů:

  • Mutace protrombinu:
    • vyvoláva ↑produkci protrombinu=hladina >FII 130%
    • výskyt 1-2% v populaci, u ŽT 6%
    • riziko vzniku ŽT se zvyšuje 2-3x
  • Faktor VIII > 150 %
    • porucha kontroly translace mRNA? nebo vliv vyššího věku ? zánět ?
    • výskyt 11 % v populaci, u ŽT 25%
    • riziko vzniku ŽT se zvyšuje 6x
    • klinicky je významná rekurence ŽT (27% po vysazení antikoagulancií za 2 roky léčby)
  • Zvýšene hladiny fibrinogenu: Fibrinogen > 4 g/ l
    • mutace G 455-A genu pro beta řetezec
    • (nebo vyšší věk , jedná se také o protein akutní fáze)

2)Dysfunkce přirozených inhibitorů koagulace:

  • Přirozené inhibitory koagulace:
    • Antitrombin: antiproteáza, odpovídá za inhibici vytvořeného trombinu a Faktoru Xa
    • Protein C a Protein S – inhibují akcelerátory koagulace F V a a F VIIIa
  • Deficit antitrombinu:
    • riziko ŽT zvyšuje 10x
    • výskyt v populaci 0,02 % , u ŽT v 1%
    • snížení v graviditě, estrogeny, při dysfunkci jater, nefrotickém syndromu, sepsi
    • zjištěno 92 různých mutací
  • Deficit proteinu C:
    • je již známo 160 mutací genu PC
    • při deficitu PC je riziko ŽT 10x vyšší
    • v populaci se vyskytuje v 0,2–0,4 % osob, je zjistitelný u 3 % se ŽT
    • pozor při léčbě warfarinem (PC je závislý na vitaminu K)-kumarinová nekróza
  • Rezistence na aktivovaný protein C:
    • je způsobena mutací genu pro F V: bodovou mutací FV Leiden se záměnou argininu za glutamin
    • výskyt heterozygotů v populaci 8,7%
    • homozygot 1:5000, výskyt u osob s ŽT 20-40%,
    • riziko vzniku ŽT zvyšuje 2-3x,(homozyg.80x)
  • Deficit proteinu S:
    • deficit PS je nalézán asi u 1–5 % ŽT,
    • zvyšuje 5-10x riziko ŽT
    • volný PS se snižuje při zánětu ( vázán na C4BP), po estrogenech (gravidita,OC)
    • je závislý na vitaminu K
    • má vyšší afinitu k C4BP

3)Dysfunkce fibrinolýzy:

  • Zvýšení inhibitoru aktivátoru plazminogenu 1:
    • polymorfismus PAI-1: 4G/4G, je spojen se zvýšením hladiny PAI-1 a  potlačením fibrinolytické aktivity
    • PAI – 1 je proteinem akutní fáze , zvyšuje se v těhotenství, u obesních osob s DM 2.typu

4)Metabolické poruchy:

  • Hyperhomocysteinemie:
    • způsobená homozygotní mutací termolabilní MTHFR C677 T, výskyt T/T 20% v populaci
    • klinicky nízké riziko ŽT, narůst s karencí kyseliny listové – staří lidé, gravidita
    • zvýšení tHcy >15 μmol/L: zátěž endotelu (PAI-1↑,TF↑,TFPI↓ )
    • riziko ICHS, defektu vývoje neurální trubice

Prevalence u pacientu s trombózou:

  • APC rezistence (Faktor V Leiden): 12 – 40%
  • Mutace protrombinu G20210A: 6 – 18%
  • Deficit antitrombinu III, PC, PS: 5 – 15%
  • Hyperhomocysteinémie: 10 – 20%
  • Antifosfolipidový syndrom: 5 – 10%

Získané trombolfilie:

  • obecná rizika – vyšší věk, obezita, nehybnost, komprese cév
  • zánět (infekce, sterilní trauma a nekróza)
  • antifosfolipidový syndrom ( SLE )
  • jiné: rakovina, varixy, aneurysma, exogenní estrogeny, patologické těhotenství, trauma, operace, sádrová fixace, dlouhé cestování

Antifosfolipidový syndrom:

  • autoimunní onemocnění – protilátky proti fosfolipidum
  • výskyt u nemocných s reumatickými chorobami pojiva (SLE)
  • v těhotenství se AF syndrom většinou poprvé manifestuje jako příčina potratu
Kategórie
Hematologie

PRIMÁRNÍ POLYCYTEMIE

Ph negatívní (Ph-)

Definice: je chronické myeloproliferatívní onemocnění, charakterizované zvýšenou produkci erytrocytů.

Epidemiologie: 0,7 – 2,6 /100.000, ↑ stoupa s věkem, 60let

Etiopatogeneze:

Etiologie: mutace genu JAK2 (Janus 2 kináza)

Patogeneze: mutace vede ke kontinuální stimulaci erytropoézy

Klinický obraz:

  • Cirkulační poruchy ze zvýšené viskozity krve:
    • Průtok krve mozkem – bolest hlavy, závratě, poruchy zraku, parestezie
    • Trombotické příhody (20%) – trombózy DK i HK, embolie plicní, obliterace koronárního řečiště – kardiovaskulární symptomy (vysoké počty trombo-krvácení)
  • Celkově: slabost, svědění kůže (po koupeli), pletora kůže, vyšší TK, splenomegalie (70%), hepatosplenomegalie (40%)

Průběh nemoci: 3 fáze

  1. Pre-polycytemická fáze: mírna erytrocytóza
  2. Rozvinutá polycytemická fáze: signifikantní zmnožení krevní masy
  3. Post-polycytemická fáze: rozvoj myelofibrózy, pancytopenie s přítomnosti mladších forem granulocytární a erytroidní řady v krvi, výrazná splenomegalie, extramedulární hematopoéza
  • Terminální stadium: může přejít do akútní leukemie

Diagnóza:

  • Anamnéza a fyzikální vyšetření
  • Laboratorní vyšetření:
    • Krevní obraz:
      • ↑Hb ( > 185g/l u mužů, > 165g/l ženy)
      • leukocytóza ( >10 – 12×109/l)
      • normální /↑ trombocyty
      • zvýšen erytrocitární a celkový volum
      • ↓EPO
    • Kostní dřeň: hypercelulární s proliferací všech tří řad, přechod do fibrózy
    • Průkaz JAK2
    • trepanobiopsie
  • Zobrazovací metody:
    • USG: splenomegalie

Diferenciální diagnóza:

  • Nepravé polycytemie: ztráta tekutin, ↑TK, diuretika, choroby ledvin, alkohol
  • Sekundární polycytemie: fiziologické reakce erytropoézy na hypoxii, nadproduke EPO
  • Hypoxie: choroby plic, cyanotické srdeční vady, arterio-venózní zkraty, methemoglobinémie, karboxyhemogloobinemie, ve vysokých výškách

Terapie:

  • Cíl léčby – ovlivnit rizika trombotických a krvácivých komplikací a symptomů
  • První linie léčby: venepunkce/nebo/erytrocytaferéza a antiagregační terapie ASA (kyselina acetylsalicylová) 50 – 100 mg/den, trvalá při anamnéze plicní embolie nebo hluboké žilní trombózy
  • Cytoredukční léčba: interferon alfa (INF – α), ev. hydroxyurea u starších pacientů (> 65 let), při výrazné trombocytémii ev. přidat anagrelid
  • Druhá linie léčby: ruxolitinib (selektívní inhibitor JAK1+2 kináz)
  • Alogenní transplantace: kurativní možnost léčby (s rizikem, proto až ve stadiu počínající postpolycytemické myelofibrózy)
Kategórie
Hematologie

ESENCIÁLNÍ TROMBOCYTEMIE

Ph negatívní (Ph-)

Definice: je chronické myeloproliferatívní onemocnění postihující primárně megakaryocytární řadu charaktizováno trombocytózou ( > 450×109/l) se zvýšeným počtem megakaryocytů v kostní dřeni a se zvýšeným sklonem k trombotickým či krvácivým projevům.

Epidemiologie: 0,6 – 2,5/100.000/rok

Etiopatogeneze:

Etiologie: neznáma, 50% mutace JAK2 genu

Klinický obraz:

  • 30% pacientů bez příznaků
  • krvácivé projevy: epistaxe, krvácení do GIT
  • trombotické projevy: okluze postihuje periferní řečiště s ischemickými atakami v akrech (prsty rukou/nohou), parestézie, vzácně rozvoj gangrény
  • Mikrovaskulární symptomy: přechodné poruchy vizu, závratě, bolesti hlavy
  • může vzácně přejít do myelofibrózy ale NIKDY do akutní leukemie

Diagnóza:

  • Anamnéza a fyzikální vyšetření:
    • slezina: 1/3 mírně zvětšena
  • Laboratorní vyšetření:
    • Krevní obraz:
      • trombocytóza (>450×109/l)
      • leukocytóza mírná (15×109/l)
      • Hb (hemoglobin) v normě
      • leukoerytroblasty nejsou přítomny
    • Vyšetření JAK2 (odlíšení od reaktívní trombocytózy)

WHO dg. kriteria:  Nutno splnit všechna 4 kriteria

  1. trombocyty trvale ≥ 450×109/l
  2. histopatologický obraz KD
  3. nesplnění kriterií PV, MF, CML, MDS
  4. přítomnost JAK2 V617F nebo jiného klon.markeru.

Diferenciální diagnóza: reaktívní tromcotytemie (chronické záněty, malignity polytraumata, při krvácení, po operaci)

Terapie:

  • Hlavní cíl – snížit rizika trombotických a krvácivých komplikací a mikrovaskulárních symptomů
  • Rychlý efekt má trombocytaferéza
  • Rizikové faktory pro vznik trombózy: věk, počet trombocytů, přítomnost dalších trombofilních faktorů, kouření, obezita, hormonální antikoncepce; mutace JAK2 genu
  • Při venózní TEN – celoživotní antikoagulační terapie 
  • Trombocyty: do 1000×109/l: kyselina acetylsalicylová či IFN – α
  • Trombocyty: > 1500×109/l: hydroxyurea či opakovaně trombocytoferéza

Prognóza přežití – většinou nekrátí život pacienta, léčba celoživotní

Kategórie
Hematologie

PRIMÁRNÍ MYELOFIBRÓZA

Ph negatívní (Ph-)

Definice: je klonální myeloproliferatívní onemocnění s postupnou náhradou krvetvorby v kostní dřeni fibrózní tkání a proliferací krvetvorné tkáně v extramedulární lokalizaci.

Epidemiologie: 0,5 – 1,5 /100.000 obyvatel

Etiopatogeneze:

Etiologie: ozáření, benzen

Patogeneze: postupná fibróza kostní dřeně → anémie, trombocytopenie (petechie), granulocytopenie (zřídka)

Klinický obraz: 30% diagnóz náhodně

  • Prefibrotická fáze (různě dlouho):
    • hypercelulární kostní dřeň, minimální fibróza
    • bez klinických příznaků nebo neurčité příznaky: slabost, hubnutí, noční poty, únava, periferní edémy
  • Fibroticka fáze:
    • výrazná fibróza až osteoskleróza kostní dřene, leuko-erytroblastóza v periferní krvi
    • projevy cytopenie, hepatosplenomegalie, trombembolie, portální hypertenze, ascites, splenomegalie často až do malé pánve (časté infarkty), pocity plnosti břicha, plynatost, poruchy pasáže, dušnost
  • Při progresi: teploty, kachektizace, bolesti v levém podžebří ze splenomegalie s extramedulární hematopoezou, infekční komplikace, selhání hematopoezy, u 20% nemocných rozvoj akutní leukemie
  • Akútní myelofibróza: tězká pancytopenie, progresívni fibróza dřeně, chybění splenomegalie, a nepříznivá prognóza
  • Celkové příznaky: ↓váhy, únava, noční pocení, subfebrilie, svědení kůže, dnavé potíže

Diagnóza:

Prefibrotická fáze:

  • Anamnéza a fyzikální vyšetření:
    • mírna splenomegalie
    • bez výraznejších celkových přiznaků
  • Laboratorní vyšetření:
    • Krevní obraz:
      • mírná leukocytóza
      • trombocytopenie
      • lehká anémie (neklesá pod 100g/l)
      • nejsou vyplaveny mladší formy erytroidní a granulocytární řady

Fibrotická fáze:

  • Anamnéza a fyzikální vyšetření:
    • výrazná splenomegalie a hepatomegalie (portální hypertenze a ascites)
  • Laboratorní vyšetření:
    • Krevní obraz:
      • pancytopenie s leukoerytroblastickou reakcí a přítomnosti slzičkovitých ERY

Z přednášky:

Diagnóza: splnění 3 hlavních a 2 vedlejších kritérií

Hlavní kriteria:

  1. Atypická hyperplazie megakaryocytů a retikulinová nebo kolagenní fibróza nebo atypie megakaryocytů a hypercelularita KD s myelodiní metaplazií a erytroidní hypoplazií
  2. JAK2V617F  nebo jiný klonální marker, není-li pak vyloučit sekundární MF (nádorové onemocnění)
  3. vyloučení  PV, CML, MDS, další MPO

Vedlejší kritéria:

  1. leukoerytroblastóza
  2. anemie
  3. ↑LDH
  4. splenomegalie palpačně

Diferenciální diagnóza:

  • Jiná myeloproliferatívní nemoci:
    • CML
    • MDS s fibrózou
    • Esenciální trombocytemie, primární polycytemie
  • Leukemie
  • Metastázy karcinomu do dřeně

Terapie:

  • Kuratívni: alogenní transplantace krvetvorných buněk  (mladší pacienti)
  • Paliativní:
    • V počateční fázi: cytoredukční léčba:
      • hydroxyurea nebo interferon – α
    • V cytopenické fázi:
      • substituce erytrocytární masou a destičkovými koncentráty
      • splenektomie
      • ozáření sleziny
      • podávaní androgenů a EPO při anemií
      • Inhibitor angiogeneze (thalidomid)
  • Nový přístup: možnost podat inhibitor JAK (ruxolitinib)

Prognóza: medián 5 let, mladší pod 55 let medián 10 let

Přičina úmrtí: selhání normální krvetvorby, infekce, transformace do akútní leukemie, krvácivé nebo trombotické komplikace, komplikace portální hypertenze, srdeční selhání