Kategórie
Endokrinologie

PROLAKTINOM A HYPERPROLAKTINÉMIE

Definice: je nejčastější hypofyzární adenom produkujíci prolaktin. U žen je doprovázen tzv. syndromem amenorea-galaktorea. Hyperprolaktinémie je zvýšena koncentrace prolaktinu v krvi. 

Epidemiologie:

  • Incidence: 30/milion/rok
  • Prevalence: 100-150/milion

Etiopatogeneze:

Etiologie (prolaktinom): neznáma, MEN-I

Etiologie (hyperprolaktinémie):

  • Fyziologická – fyzická námaha, těhotenství, šestineděli, kojení, stres
  • Léky – psychofarmaka (antidepresiva, antipsychotika, neuroleptika), celková anestetika, estrogeny, gestageny, blokátory H2-receptorů, metyldopa, nikotin, opiáty, verapamil
  • Patologická – prolaktinom, akromegalie, periferní hypotyreóza, jaterní cirhóza, roztroušená skleróza, renalní insuficience, SLE, míšní léze…

Klinický obraz:

Ženy:

  • poruchy menštruačního cyklu:
    • anovulace
    • oligomenorea (déle trvajíci menstruace)
    • amenorea (nepřítomnost menstruace)
  • infertilita (neplodnost)
  • galaktorea (patologická sekrece mléka)
  • diagnostikuje se časněji a jedná se většinou o mikroprolaktinom

Muži:

  • snížení libida
  • erektilní dysfunkce
  • gynekomastie
  • vzácně galaktorea
  • pozdní diagnóza, nález je většinou makroprolaktinom → projevit se může až svou expanzi a útlakem okolí:
    • porucha vizu
    • bolest hlavy
    • hypopituitarismus

Diagnoza: průkaz hyperprolaktinémie (> 300µg/l), + vyšetřit sekreci všech hormonů hypofýzy, MR mozku, perimetr

Diferenciální diagnóza: viz etiologie (fyziologická, léky, patologická)

Pseudoprolaktinom: je afunkční adenom hypofýzy (makroadenom), působí hyperprolaktinémii útlakem stopky hypofýzy → omezení toku dopaminu do adenohypofýzy a dezinhibice produkce a sekrece prolaktinu (do 300µg/l)

Terapie: medikamentozní léčba!!!

  • Agonisty dopaminu (cabergolin, quinagolid, bromocryptin) → aktivace hypofyzarních D2-receptorů pro dopamin, a tím inhibici sekrece prolaktinu
    • dopamin je hlavním regulátorem sekrece prolaktinu a působi na ní inhibičně
  • u makroprolaktinomu může v počatcích léčby dojít ke krvácení do tumoru (apoplexie) → jedná se o akutní stav → indikace k chirurgickému zákroku (klinicky se to projeví: intenzivní bolest hlavy, porucha vizu)

Kategórie
Endokrinologie

TUMORY HYPOFÝZY

Definice: jedná se o expanzivní procesy nádorové etiologie. Nejčastější jsou benigní adenomy.

Dělení:

Podle velikosti:

  • Mikroadenomy ≤ 1cm
  • Makroadenomy > 1 cm

Podle endokrinní aktivity:

  • Afunkční
  • Nadprodukce hormonů

Podle produkovaného hormonu:

  • Prolaktinom
  • Somatotropní adenom
  • Kortikotropní adenom
  • Tyreotropní adenom
  • Gonadotropní adenom

Klinický obraz:

  • Endokrinologické příznaky
  • Příznaky z lokálni expanze

Endokrinologické příznaky:

  • nadprodukce hormonů (viz. jednotlivé adenomy)
  • útlak zdravé hypofýzy (makroadenomy) → hypopituitarismus

Lokální expanze: útlak struktur:

  • Hypofýza → hypopituitarismus
  • Optický trakt → bitemporální hemianopsie, zorné pole, slepota, skotomy
  • Hypotalamus → poruchy chuti k jídlu, vnímání žízně, obezita, poruchy chování, poruchy ANS, poruchy termoregulace, spánku, diabetes insipidus centralis
  • Sinus cavernosus → diplopie, oftalmoplegie, ptóza víčka, ↓citlivost tváře
  • Temporalní lalok → čichové halucinace
  • Frontalní lalok → anosmie, poruchy osobnosti
  • Centralní struktury → bolesti hlavy, hydrocefalus, demence, psychózy

Diagnoza: endokrinologická vyšetření (viz. jednotlivé adenomy), MR mozku (kontraindikace → CT), oftalmologické vyšetření (perimetr)

Diferefnciální diagnóza: cysty, jiné nádory (metastázy, cévní nádory, gliomy, sarkomy, meningeomy, …), záněty (sarkoidóza, TBC, absces), aneuryzmata

Terapie: (viz.jednotlivé adenomy)

  • Prolaktinom → medikamentózní
  • Endokrínně aktivní adenomy → neurochirurgie(transfenoidálně),gama nož
  • Afunkční mikroadenomy → sledujeme
  • Afunkcční makroadenomy → podle věku, stavu, příznaku neurochirurgie
  • Deficity hormonů → hormonální substituční léčba
Kategórie
Endokrinologie

HYPOPITUITARISMUS

Definice: je nedostatečná/snížena nebo úplna ztráta produkce a sekrece jednoho nebo více hormonů předního laloku hypofýzy. Nedostatečná sekrece všech hormonů adenohypofýzy se nazýva: panhypopituitarismus.

Epidemiologie: vzácně, přesné dáte nejsou

Etiopatogeneze:

Etiologie:

  • útlak hypofýzy expanzivními procesy → adenomy, kraniofaryngeom, Rathkeho cysty, meningiomy, gliomy, chondromy, chondrosarkomy, aneuryzmata cév, granulomy..
  • geneticka
  • trauma
  • chirurgicky zákrok
  • ozáření
  • záněty
  • autoimunitní postižení
  • ischemie nebo krvácení do hypofýzy
  • subarachnoidální krvácení
  • idiopaticky

Klinický obraz:

Deficit GH (růstovy hormon):

  • Dětství: zpomalení až zástava růstu
  • Dospělost:
    • ↑tuková tělesná hmotnost
    • ↓fyzická výkonnost (+kardiální)
    • ↑únava
    • porucha kognitivních funkci (pamět)
    • zhoršená citlivost vůči inzulinu
    • zhoršení kostního metabolismu

Deficit gonadotropinu (LH, FSH):

  • Hypogonadotropní hypogonadismus

Deficit TSH (tyreotropni hormon):

  • Centrální hypotyreóza

Deficit ACTH (adrenokortikotropni hormon):

  • Centrální hypokortikalismus (od periferního se líši tím, že dominuje deficit glukokortikoidu (kortisol)androgeny

Deficit prolaktinu: z klinického hlediska nevýznamny?

Diagnoza:

Vyšetření hormonálních funkci:

Deficit GH: stimulační testy → sledujeme koncentraci GH v séru na příslušný stimulus (inzulinový test, GHRH test, argininový test, test s GHRH + argininem, glukagonový test, test s L-dopou), současně sledujeme koncentrace IGF-I (inzulin podobny růstový faktor  I) v séru

Deficit  LH a FSH: průkaz hypogonadismu:

  • u mužu: ↓testosteron
  • u žen: ↓estradiol s poruchami menštruačního cyklu/fertility (nemůže otehotnět) a mají normální nebo ↓sérové koncentrace LH + FSH

Deficit TSH:  průkaz hypotyreózy:

  • ↓koncentrace volného tyroxinu-freeT4
  • normální nebo ↓ TSH v séru

Deficit ACTH: průkaz hypokortikalismus

  • ↓koncentrace kortizolu nebo nedostatečná odpověd na inzulinový/synacthenový test
  • normalní nebo ↓ACTH

Deficit prolaktinomu: posuzujeme podle bazalních koncentraci (2hod. po probuzení odebrat krev)

Morfologická diagnoza:

  • MR, CT (pouze u kontraindikaci MR), perimetr (zorné pole)

Diferenciální diagnóza: hypogonadismus, hypotyreóza, hypokortikalismus, psychiatrické poruchy

Terapie: léčba jednotlivých postižených složek

  • Deficity léčime podávánim hormonů cílovych periferních žlaz
  • Výjimka hypogonadismus ak chceme obnovit fertilitu→podáváme gonadotropiny→ lidsky rekombinantni GH (hrGH), s.c. 1x/den
  • Deficit prolaktinomu neléčime

Kategórie
Endokrinologie

HYPERLIPOPROTEINEMIE A DYSLIPIDEMIE

Definice: je skupina metabolických onemocnění, charakterizována patologickými koncentracemi lipidu a lipoproteinu (↑hladinou lipidu a lipoproteinu) v plazmě, v případe DLP aterogenním složenim lipidu. Onemocnění dlouhá léta stojí v pozadí zcela bezpříznaku. Představují vysoký rizikový faktor pro kardiovaskulárni onemocnění (ateroskleróza a její komplikace). RF je hlavně LDL a lipoprotein a. Léčba představuje jeden z nejúčinnějších prostředků kardiovaskulární prevence.

Dělení:

  1. Hypercholesterolémie
  2. Smíšena/kombinovaná HLP
  3. Hypertriglyceridémie

Epidemiologie: je onemocnění masového výskytu:  >50% dospělé populace

Etiopatogeneze:

Etiologie:

  • genetické faktory
  • životný štýl
  • smíšene (multifaktoriální faktory)

Patogeneze:

  • LDL částice jsou hlavní, aterogenním lipoproteinem, který je schopen pronikat do cévní stěny; ↑↑LDL-C = ↑↑kardiovaskulární riziko
  • ↑koncentrace triglyceridů jsou rizikové, i když jejich patogenetické působení je nepřímé
  • HDL částice zajišťují odstraňování cholesterolu z periferních tkání a působí tedy protektivně (antiaterogenně); ↑HDL-C =↓ kardiovaskulárního rizika, nízké koncentrace naopak se zvýšením rizika

HLP:

  • primární (geneticky podmíněné)
  • sekundárni (součastí jiného onemocnění: hypotyreóza, nefroticky syndrom, DM)

DLP:

  • Izolovaná hypercholesterolémie
  • Izolovaná hypertriglyceridémie
  • Smíšená hyperlipidémie

Primární HLP:

Familiární hypercholesterolémie:

  • je autosomálně dominantní onemocnění
    • heterozygoti: 1:200-300
    • homozygoti: vzácně 1:1mil.
  • Etiologie: porucha funkce (↓počet) LDL-receptoru
  • Laboratorní vyšetření: izolovaně ↑cholesterol v plazmě
    • heterozygoti: 7-10mmol/l
    • homozygoti: až 15-30mmol/l
  • Homozygoti: ICHS se manifestuje v dětství a umírají do 20 let, mají kožní/sľachové xantomy (depozita cholesterolu podkůži)
  • Heterozygoti: ICHS se manifestuje ve věku 30-50 let, xantomy raritně
  • Terapie: obtížna: nejvyšší dávky statinu v kombinaci s ezetimibem, pryskyřice (u děti)

Sekundární HLP:

  • Hypercholesterolémie: hypotyreóza, mentálni anorexie,
  • Hypertriglyceridémie: DM, obezita, alkoholismus
  • Kombinovaná hyperlipidemie: hypotyreóza, nefroticky syndrom, kortikoidy

Klinický obraz: často asymptomaticky: projeví se až manifestaci kardiovaskularní nemoci (ischemická choroba srdce…atd.)

  • typické příznaky:
    • arcus senilis corneae
    • xantelazmata palpebrarum

Diagnoza:

Laboratorní vyšetření:

Biochemie:

  • celkový cholesterol
  • LDL-cholesterol (LDL-C)
  • HDL-cholesterol (HDL-C)
  • triglyceridy (TG)

Normální koncentrace plazmatických lipidů v ČR:

  • Celkový cholesterol < 5,0 mmol/l
  • LDL-cholesterol < 3, 0 mmol/l
  • Triglyceridy < 1,7 mmol/l
  • HDL-cholesterol > 1,0 mmol/ u mužů, > 1,2 mmol/ u žen

Komplikace: aterosleróza a jeji komplikace: ICHS (ischemická choroba srdce), ateroskleróza mozkových tepen: CMP (cévní mozková příhoda), periferních tepen: ICHDK (ischemická choroba dolních končetin), aorty (aneuryzma, disekce)

Terapie:

Zásady léčby dyslipidémií

  • Hodnoty plazmatických lipidů, které se snažíme pomocí léčby dosáhnout (tzv. cílové hodnoty), se v zásadě shodují s hranicemi normálních hodnot (viz výše)
  • Pro léčbu DLP jsou k dispozici tři hlavní postupy:
    • dietní léčba
    • pravidelné cvičení
    • podávání hypolipidemik
  • U pacientů s nadváhou je dále nutná váhová redukce (alespoň o 5-10% hmotnosti) a (u kuřáků) zanechání kouření

Farmakoterapie dyslipidémií

  • V současné době se nejvíce používají statiny a fibráty, v menší míře též ezetimib (a již jen zcela minimálně také nevstřebatelné pryskyřice)
  • Statiny blokují syntézu cholesterolu v játrech a výrazně tím snižují především koncentraci celkového a LDL-cholesterolu v krvi. Používají se hlavně u pacientů s izolovanou nebo převažující hypercholesterolémií, kde jsou lékem první volby. Statiny jsou nejúčinnější ze všech hypolipidemik z hlediska snížení kardiovaskulárního rizika a obvykle by měly být základem hypolipidemické léčby. Nejrozšířenějšími statiny jsou simvastatin a atorvastatin. (NÚ- myopatie cca 10% pacientů)
  • Fibráty vedou především ke snížení triglyceridů a vzestupu HDL cholesterolu; jsou proto užívány především u poruch s převahou hypertriglyceridémie. U nás je nejrozšířenějším lékem této skupiny fenofibrát.
  • Inhibitory vstřebávání cholesterolu vedou k mírnějšímu poklesu celkového a LDL-cholesterolu. Jejich hlavní využití je v kombinační léčbě s dalšími hypolipidemiky, především se statiny. Z této skupiny je zatím dostupný jediný lék – ezetimib.
Kategórie
Endokrinologie

DIABETICKÁ NEUROPATIE

POZDNÍ KOMPLIKACE DIABETU

Mikronagiopatie (kapilary, prekapilary, postkapilary)

Definice: je postižení nervů při diabetu. Jedná se o nervové postižení způsobené metabolickými faktory (DM) a mikroangiopatickými vlivy.

Epidemiologie: cca 60% pacientů s diabetem

Etiopatogeneze:

Etiologie: glykace proteinů, oxidační stres, imunita?, růstové faktory?

Patogeneze: nejdůležitější je mikroangiopatie → postižení cév (vasa nervorum) → dochází k hypoperfuzi nervových vláken = ischemie

Klinický obraz:

Symetrická senzitivne-motorická polyneuropatie: je nejčastější typ

  • různě intenzívní bolest
  • abnormální pocity (parestézie)
  • ↓citlivost na bolest, teplo, chlad, vibrace
  • lokalizace: distální části končetin (ponožkovitá lokalizace) v klidu a teple (v noci v posteli)
  • Parestézie: je abnormální somatosenzorický vjem vzniklý za nepřítomnosti zevního podnětu (spontánní mravenčení, mrazení, pálení)

Asymetrické formy: postižení jednoho nebo několik málo nervů

  • úžinové syndromy:
    • karpální tunel
    • kraniální neuropatie – je postižení okohybných nervů
    • thorakoabdominální, pelvické neuropatie
  • Amyotrofie – je akutní svalová slabost, bolest a atrofie stehenního svalu (neschopnost chůze do schodu), regreduje, postihuje pánevní svalový pletenec, stehenný sval a psoatické svaly

Autonomní neuropatie:

  • je velmi častá (40% pacientů s diabetem), různe příznaky
  • porucha vyprazdňovaní žaludku: pocit plnosti, nevolnost
  • změny pohyblivosti střeva:
    • zpomalení→ zácpa
    • zrychlení → průjem
  • ↓pocení na jedné polovině těla a na druhé naopak ↑pocení
  • zrýchlena činnost srdce (tachykardie)
  • poruchy erekce
  • ↓schopnost rozeznat bolest: nerozpozná probíhajicí infarkt
  • je zvýšené kardiovaskulární riziko a rizko náhle smrti

Diagnoza:

  • elektromyografické vyšetření (stanovení definitívni dg.)
  • vyšetření:
    • kožní citlivost: monofilamentem
    • hluboké čití: kalibrovanou ladičkou

Prevence a terapie:

Prevence: léčba diabetu: normoglykemie a korekce hyperlipidemie, arteriální hypertenze, kouření a dalších rizikových faktoru

Terapie: kauzální léčba není (léčba zaměřena na příčinu)

  • na bolesti a mravenčení:
    • tricyklická antidepresiva
    • nověji: antiepileptika, antidepresiva (gabapentin, pregabalin)
  • často se doporučuje kyselina α-lipoova (thioktova): je antioxidantní a neuroprotektivní působící látka (objektívni efekt sporný)

Kategórie
Endokrinologie

DIABETICKÁ RETINOPATIE

POZDNÍ KOMPLIKACE DIABETU

Mikronagiopatie (kapiláry, prekapiláry, postkapiláry)

Definice: je pozdní orgánová komplikace diabetu charakterizovaná komplexním postižením sítnice (kapilár sítnice) v důsledku hyperglykemie.

Epidemiologie: celkem: 90 586 (11,7%)

DM 1typu: 70% pacientů

DM 2typu (nelečený inzulinem): 40% pacientů

Etiopatogeneze: viz patofyziologie cévnich komplikací obecně

  • Glykace, oxidační stres, aktivace polyolové cesty a PKC → to stimuluje ↑expresi VEGF

Patogeneze:

  • permeabilita cévní stěny je zvýšena → lipidy prosakují ven z cév a mohou se ukládat do sítnice ve formě depozit
  • změny na očním pozadí:
    • mikrovaskulární abnormality
    • vatovíta ložiska
    • neovaskularizace sítnice
    • retrovitreální a intravitreální krvácení
    • trakční odychlípení sítnice
  • Preklinické stádium:
    • různě dlouhé
    • projevuje se funkčními změnami v sítnici
  • Neproliferatívní stádium:
    • různe změny kapilár (dilatace, mikroaneuryzmata, uzávěry)
  • Proliferatívní stádium:
    • přítomné už novotvořené cévy: jsou méně kvalitní a snadno krvácejí → ↑riziko fibrotizace → odchlípení sítnice → riziko slepoty

Komplikace: diabetická makulopatie – je velmi závažný edém makuly → může vést k slepotě

Terapie:

  • Preventívní opatření:
    • normoglykemie (sledovat cukrovku!!!!)
    • pravidelné oční kontroly 1x za rok (nepříma oftalmoskopie v mydriáze)
  • Léčba retinopatie: laserová fotokoagulace sítnice, vitrektomie

Vitrektomie: je mikrochirurgický zákrok ve sklivci a na sítnici. Nazývá se podle místa, kterým chirurg vstupuje do sklivcové dutiny bez poškození optické části sítnice. Zachraňuje mnoho lidí před úplnou slepotou. Princip: odstranění zkaleného sklivce, odstranění membrán na sítnici a ve sklivci, přiložení sítnice

Kategórie
Endokrinologie

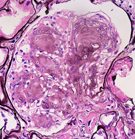
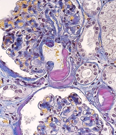
DIABETICKÁ NEFROPATIE

POZDNÍ KOMPLIKACE DIABETU

Mikroangiopatie (kapiláry, prekapiláry, postkapiláry)

Definice: je postižení ledvin při diabetu. Jedná se o typické poškození glomerulárnich kapilár v důsledku chronické hyperglykemie. Jedná se o hlavní prříčinu chronického selhání ledvin vyžadující náhradu funkce ledvin (30-50% dialyzovaných v ČR).

Epidemiologie: celkem: 76 000 (9,7%) s renální insuficienci: 26 200 (3,4%)

Etiopatogeneze:

Etiologie: DIABETES

  • Genetické faktory
  • Chronická hyperglykemie, tvorba pokročilých produktu glykace, metabolizace glukózy na sorbitol
  • Hyperglykemie aktivuje → renin-angiotenzin-aldosteron

Patogeneze:

  • glomerulární hyperfiltrace předchází mikroalbuminurii (dilatace aferentní arterioly se vzestupem glomerulárního tlaku) můžeme ovlivnit podáním ACE inhibitoru, nízkoproteinová dieta
  • pak vzniká mikroalbuminurie
  • progrese → glomerulární a tubulární hypertrofie a ztluštění GBM, BM tubulu, mezangiální expanze → intersticiální fibróza → renální insuficience

Klinický obraz:

Incipientní nefropatie:

  • mikroalbuminurie (20-200mg/min neboli 30-300mg/den)
  • často provázené hypertenzi

Manifestní nefropatie:

  • proteinurie (albuminurie >300mg/den, proteinurie >500mg/den) až nefrotický syndrom
  • hypertenze a postupně dochází k poklesu glomerulární filtraci až insuficienci
  • u DM 1.typu nutnost transplantace za 7 let od objevení první proteinurie

Mikroskopický nález:

  • Expanse extracelularní matrix (diabetická glomerulosklerosa)
  • Ztluštění bazálních membrán
  • Vaskulární změny
    • 1+2+3: ischemie
    • Poškození glů: Proteinurie/Nefroticky syndrom
    • (komplikace PU)
  • Poškození intersticia
  • Nekrosy papil
  • Infekce
  • DM glomerulosklerosa:
    • Kimmelstiel-Wilson= difusní a nodulární glomerulosklerosa
    • Proteinurie a progresivní selhání ledvin

Komplikace:

  • Chronická glomerulonefritida: membránozní GN
    • myslíme u pacientů s náhle vzniklým nefrotickým syndromem)
  • Stenóza renální tepny aterosklerózou
    • projeví většinou jen mírnou renální insuficienci, hypertenze může/nemusí ..často normotenze
  • Nekróza renální papily
    • ↑u žen, ↑u recidivujícih močových infekcích
    • často asymptomaticky/někdy renální kolika
    • laboratorní vyšetření: hematurie, sterilní pyurie s malou proteinurii (2g/den)
  • ↑riziko asymptomatické bakteriurie, ↑riziko TBC ledvin, abcesy

Terapie:

  1. Prevence vývoje mikroalbuminurie
  2. Prevence progrese mikroalbuminurie do manifestní proteinurie
  3. Ovlivnění progrese renální insuficience
  4. Léčba selhání ledvin
  • kontrola glykemie
  • antihypertenzní léčba: ACE inhibitory, antagonisty angiotenzinu
  • restrikce bílkovin v dietě
  • přestat kouřit
  • hypolipidemická léčba: statiny
  • antiagregační léčba: kyselina acetylsalicylová
  • kontraindikace metforminu je se sérovým kreatininem >200mmol/l

Kategórie
Endokrinologie

AKUTNÍ KOMPLIKACE DIABETU

  • Hypoglykemie
  • Hyperglykemické stavy
    • Hyperglykemický hyperosmolární stav
    • Diabetická ketoacidóza (hyperglykemický stav s ketoacidózou)
  • Laktátová acidóza

HYPOGLYKEMIE

Definice: je pokles glykemie pod 3,8 mmol/l, při poklesu jsou aktivovány kontraregulační hormony a další mechanizmy, které vedou k zvýšení tvorby glukózy v organismu. Jedná se o častou komplikaci léčby DM inzulinem.

Kontraregulační hormony jsou:

  • glukagon
  • katecholaminy
  • růstový hormon
  • kortisol

Dělení:

  • Lehká: symptomatická, asymptomatická, relatívní
  • Těžká /závažná

Etiopatogeneze:

Etiologie:

Iatrogenni: absolutní nebo relativní nadbytek inzulinu

a)  zvýšený odsun glukózy

  • inzulín, inzulínová sekretagoga a senzitizátory
  • zvýšená utilizace glukózy (cvičení)
  • zvýšená citlivost na inzulín (zhubnutí)
  • snížená clearance inzulínu (renální selhání)

b)  snížený přísun glukózy

  • snížený příjem glukózy
  • snížená produkce glukózy (alkohol)

! Kombinace s poruchou kontraregulace !

Klinický obraz:

  1. Neurogenní = adrenergní (týkající se noradrenalinu)
    • pocení, palpitace, tachykardie, úzkost
  2. Neuroglykopenické = CNS
    • Neurologické – bolest hlavy, zhoršený zrak, diplopie, porucha soustředění, porucha řeči a vědomí, křeče, paréza, plegie
    • Psychiatrické – nezvykle chování, povahové změny, poruchy nálady, euforie, deprese, poruchy myšlení

Následky hypoglykemie:

  • Posthypoglykemická hyperglykemie
  • Hypokalemie
  • Křeče
  • Hypoglykemická encefalopatie: příznaky iktu (dočasně), detoriace intelektu (dlouhodobě)
  • Maligní arytmie
  • Mozková smrt

Úkol:

  1. Zjistit hypoglykemii
  2. Okamžite léčit
  3. Objasnit příčinu hypoglykemie
  4. Zabránit opakovaným hypoglykemiim

Terapie: !!!!

Lehká hypoglykemie: slazený nápoj 2dcl (sladký džús, cola) nebo sušenky (rychle uvolnitelné sacharidy)

Těžká hypoglykemie:

  • Pacient při vědomí: džús, slazený čaj (30-50g sacharidu)
  • Pacient v bezvědomí: injekční glukagon (Glucagen hypokit) i.m., nebo s.c. + zavolat lékařskou pomoc s aplikaci glukózy i.v.
  • po požití sacharidu po 15 – 20 minut změrat glykemii

Hypoglykemické koma: i.v. glukóza (20-40% roztok i.v.)

HYPOGLYKEMIE U NEDIABETIKU:

Etiologie:

A. Hypoglykemie nalačno:

  • Snížena produkce glukózy:
    • Nedostatek kontraregulačních hormonů
    • Enzymopatie
    • Choroby jater
    • Nedostatečnost ledvin
    • Poruchy výživy
    • Alkohol
  • Zvýšena utilizace glukózy:
    • Exogenně podmíněny hyperinzulinismus:
      • Léčba diabetu inzulinem
      • Léčba diabetu deriváty sulfonylurey
    • Endogenně podmíněny hyperinzulinismus:
      • Inzulinom
      • Hyperinzulinemická hypoglykemie u detí
      • Extrapankreatické nádory
      • Defekty oxidace volných mastných kyselin
      • Hypoglykemie podmíněne léky

B. Hypoglykemie reaktivní:

  • alimentární (poresekční)
  • funkční
  • vrozené vady (galaktosemie)
  • novorozence diabetické matky

DIABETICKÉ HYPEROSMOLÁRNÍ HYPERGLYKEMICKÉ KÓMA

Definice: je závažný akutní metabolický stav charakterizovány vysokou hyperglykemii (>40mmol/l) a hyperosmolalitou plazmy s nepřítomnosti ketoacidózy.

Etiopatogeneze:

  • inzulin zabudováva receptory do membrány v cílových tkáních a takhle dokážou přijat glukózu do své cytoplazmy
  • nemám inzulin → ak nemám inzulin tkáně neutilizují glukózu a glukóza zůstava v cirkulaci = hyperglykemie
  • tkáně jako játra, svaly, tukové buňky energii potřebují (ATP) a proto glukózu potřebují z něčeho vyrobit a vyrábí jí:
    • ze zásob glykogenu (glykogenolýza)
    • z alaninu (AMK → katabolizmus proteinů)
    • z glycerolu (lipolýza → volné mastné kyseliny)
    • z laktózy (glukóza ze svalu)
  • játra taky začnou glukózu tvořit (glukoneogeneze a glykolýza)→a podporují hyperglykemii→hyperglykemie vede k překročení prahu ledvin pro cukr (10mmol /l)→a to vede k vyloučení cukru moči (glykosurie)→glukóza je osmoticky aktivní tak táhne vodu sebou a vzniká osmotická diuréza! = dehydratace! →a to vede k častému močení, žízní, různym známkam dehydratace → až porucha vědomí/kóma

Epidemiologie: vzácne, u starších pacientů s DM 2.typu (může být jako první projev nemoci v důsledku dekompenzace např. při infekci)

Klinický obraz: se rozvíjí pozvolna

  • žízeň
  • polyurie
  • dehydratace:
    • snížený kožní turgor
    • suché sliznice a rozpraskané rty
    • hypotenze
    • tachykardie
  • močí ztráci Na a K (hypokalemie riziko arytmii)
  • později: zhoršení vědomí – kóma

Diagnoza:

  • Laboratorní vyšetření:
    • hyperglykemie (>40mmol/l)
    • ↑osmolalita plazmy >320mmol/kg
      • (norma: 290+-10mmol/l osmolarita)
    • v důsledku dehydratace: ↑urea, ↑kreatinin, ↑hematokrit
    • Ketolátky v moči negativne

Terapie:

  • hospitalizace: JIP
  • rehydratace (1l=1000ml) 0,9% NaCl první hodinu-dále 4-14ml/kg/hod.)
  • inzulin v bolusech 0,1-0,15 IU/kg pak kontinualní aplikace 0,1 IU/kg,
  • při glykemii 14-16 mmol/l přidáme k infuzi NaCl 5% glukózu
  • podpůrna léčba (zaistíme životné funkce: uměla plicní ventilace, nizkomolekulový heparin: prevence trombembolické nemoci..)

Prognóza: nepříznivá, protože se jedná o lidi s vyšším věkem a komorbiditami

DIABETICKÁ KETOACIDÓZA A KETOACIDOTICKÉ KÓMA

Definice: je akutní závažný metabolický stav charakterizovány hyperketonemii, hyperglykemii a metabolickou acidózou.

Epidemiologie: hlavně u DM 1.typu, může aj DM 2.typu, 4-15 epizod/1000 diabetiku/rok

Etiopatogeneze: viz kartičku víže

Klinický obraz: závisí od stupňa acidózy

  • známky dehydratace:
    • snížený kožní turgor
    • suché sliznice a rozpraskané rty
    • hypotenze
    • tachykardie
  • nauzea, zvracení
  • únava, slabost
  • bolest břicha (pseudoperitonitis diabetica)
  • těžká acidóza: může vyustit až do kómy
  • kompenzace acidózy (Kussmaulovo dýchání)

Kussmaulovo dýchání:  je typickým projevem respirační kompenzace metabolické acidózy. Zvýšená koncentrace protonů vodíku stimuluje periferní receptory v glomus aorticum (cestou n. vagus) a glomus caroticum (cestou n. glossopharyngeus), které aktivují dýchací centra a zvyšují ventilaci. Objevuje se např. při diabetické ketoacidóze či renálním selhání. Je pojmenováno po německém lékaři Adolphu Kussmaulovi (1822–1902).

Diagnoza:

  • Laboratorní vyšetření:
    • ketonemie a ketonurie
    • hyperglykemie (nemusí být extremni)
    • Metabolická acidóza (↓bikarbonátu, ↑bázi)
    • častá je taky hypertriglyceridemie a hypercholesterolemie

Terapie:

  • rehydratace (1-1,5l 0,9%NaCl za první hodinu poté 15-20ml/kg/hod.) + inzulin
  • nutná náhrada K!! 0,3-0,5ml/kg/hod
  • snižovat glykemii postupně → rychlejší pokles by mohol vést k edému mozku a to tak, že osmolarita by pak byla vysoká v buňkách a ty by si táhli vodu z ECT (z cév)

Prognóza: příznivá, často se jedná o mladší pacienti bez dalších nemoci

LAKTÁTOVÁ ACIDÓZA A LAKTACIDOTICKÉ KÓMA

Definice: je metabolická acidóza vznikajíci při zvýšenej tvorbě nebo snížené utilizaci laktátu. Jedná se o akutní závažný stav.

Glukóza→pyruvát→laktát

Etiopatogeneze:

  • Tkáňova hypoxie:
    • snížena oxygenace tkání → šok, hypoxemie, těžká anemie, intoxikace CO
  • Zvýšená tvorba laktátu nebo porucha odstraňování laktátu při normální oxygenaci tkání:
    • onemocnění jater, sepse, léky (biguanidy, toxiny)

Klinický obraz:

  • Kussmaulovo dýchání
  • bolesti břicha
  • nauzea, zvracení
  • poruchy vědomí → kóma

Diagnoza:

  • Laboratorní vyšetření:
    • pH krve: <7,2
    • ↑laktát: >5mmol/l (norma: 0,4-1,2)

Terapie:

  • hospitalizace na JIP: monitoring životně důležitých funkci
  • léčba onemocnění co vyvolalo laktátovou acidózu (↑perfúze..)
  • i.v. NaHCO3
  • podpůrna léčba

Prognóza: velmi nepřízniva (mortalita 60-80%), dáno také vyšším věkem a přidruženými nemocemi

Kategórie
Endokrinologie

DIABETES MELLITUS 2. TYPU

Definice: je chronické zvýšení glykémie nad normální hodnoty při kombinaci inzulínové rezistence a relativně snížené inzulínové sekrece.

Epidemiologie: ČR: 740 000 pacientů

Etiopatogeneze:

Zásadni odlišnosti od DM 1.typu je fakt, že DM 2.typu se sdružuje s:

  • Obezita
  • Arteriální hypertenze
  • Dyslipidemie
  • Hyperurikemie
  • Jaterní steatóza → mírna elevace aminotransferáz (ALT,AST)

 = celé se to jmenuje metabolický syndrom (syndrom inzulínové rezistence)

– rozhodujíci roli hraje kombinace: genetická složka (DM u obou rodiču ↑riziko u potomka) + obezita + ↓fyzická aktivita

Klinický obraz:

  • viz kartička obecně
  • s plně vyjadrěnými příznaky v klinice se setkáme vzácně
  • většina pacientu: únava, ↑pocit žízně, častější močení
  • někdy zcela asymptomatický průběh → proto často diagnostikujeme až s KOMPLIKACEMI
  • z dlouhodobého hlediska se jedná o progresívní onemocnění, které si vyžaduje postupně zintenzivnění léčby (kombinace několik antidiabetik) až nasazení inzulinu → i přes intenzívní terapii dochází u většiny diabetiku 2.typu postupně k rozvoji mikro- i makrovaskulárních komplikací

Diagnoza: viz kartičku obecně

Terapie:

Nefarmakologická terapie: dieta, fyzická aktivita, přestat kouřit

Dieta:

  • mírně hypokalorická (redukční)
  • 5x denně, ovoce, zelenina, olivový olej, ryby…

Fyzická aktivita:

  • alespoň 30 minut chůze….ale cokoliv! aj 20 minut chůze je super, motivovat pacienta k pohybu

Farmakologická terapie:

1. monoterapie metforminem v nejvyšší tolerované dávke aj v kombinaci

Metformin:

  • zvyšujeme podle tolerance: cílová dávka: 2500 – 3000mg
  • jiná p.o. antidiabetika nebo inzulin podáváme jenom při KI nebo nesnášenlivosti metforminu
  • jiná antidiabetika jsou indikována pokud není v této situaci vhodnější lečba inzulinem

2. monoterapie inzulinem:

  • pacienti inzulin-deficientní (tam kde metformin selhává)
  • pacienti bez nadváhy s výraznými lačnými a postprandiálními hyperglykémiemi (↑15mmol/l)

Kombinační terapie:

  • pacienti s převládající zvýšenou postprandialni glykémii:
    • metformin + deriváty sulfonylurey (glimepirid, gliklazid) nebo gliptiny
  • pacienti s inzulinorezistenci: zvýšení glykémie nalačno
    • metformin + pioglitazonem
  • nebo:
    • metformin + GLP-1 agonisty
    • metformin + glifloziny

Terapie inzulinem:

Nevýhody terapie:

  • ↑hmotnosti
  • ↑riziko hypoglykémie
  • nutnost dobré spolupráce pacienta
  • platí, že při nepřítomnosti KI by terapie inzlinem měla být vždy kombinovaná s podávaním metforminu v max. tolerovaných dávkach

Specifika inzulinové terapie:

  • je možné použít jak konveční tak aj intenzifikované inzulinové režimy
  • hlavní rozdíl od DM 1.typu je, že je u DM 2.typu přítomna inzulínová rezistence → a to může potřebu inzulinu výrazně zvyšovat
  • většinou začíname režimy konvenčními → ale ješte před nasazením inzulinu vybavíme pacienta glukometrem a inzulinový režim vybereme podle glykemických profilů

Aplikace bazálního inzulinu 1x denně: (konvenční režim)

  • aplikace dlouhodobě působicího inzulinu večer (před spaním)→ ke snížení hyperglykemie nalačno
  • použít je možné humánní NPH inzuliny tak dlouhodobá inzulinová analoga
  • začíname nízkou dávkou (10IU s.c.) po 3 dnech zvyšujeme o 2 – 4 jednotky
  • cílová hodnota ranní glykemie je 4 – 7 mmol/l (u starších a rizikovějších se uspokojíme aj s vyššími hodnotami)
  • vždy kombinujeme s max. tolerovanou dávkou metforminu

Aplikace premixovaných inzulinů: (konvenční režim)

  • výhoda oproti předchozímu režimu je, že ovlivní jak glykemie nalačno tak glykemie po jídle (postprandiální)
  • nevýhoda: ↑hmotnosti a častější výskyt hypoglykemii
  • podávame 2x denně (před snídaní a před večeří)
  • nepřekačujeme dávku: 40jednotek na den → při nutnosti zvýšit dávku → převést ho na intenzifikovanou inzulinoterapii

Intenzifikovaná inzulinoterapie:

  • režim: bazál-bolus

Jeden dosptupný antiobezitikum: orlistat

Doplněk:

  • citlivé na nedostatek glukózy jsou hlavně: mozek, sítnice, buňky dřeně ledvin, erytrocyty
  • glukóza→pyruvát (putuje do mitochondii)→citrátový cyklus→32 ATP
  •  z pyruvátu → vzniká laktát
  • člověk neumře po hladovění 1 den, protože glykémie je udržována týdny nad 3mmol/l syntézou z jiných látek, které se metabolizují na pyruvát
  • Zdrojem pyruvátu, ze kterého se glukóza může syntetizovat glukoneogenezi jsou: laktát, glukogenní AMK (alanin), glycerol!
  • Zdrojem laktátu je glykolýza ve svalech